Research
My research is focused on machine learning and deep learning segmentation methods on medical images
Skull stripping
Brain extraction is the very first step of any brain imaging pipeline
Recently highly generalizable methods have been developed but there is room for more improvement.
While several algorithms have provided fast and accurate results for several modalities,
recent advancements in Deep Learning has shown improvement in speed, accuracy and generalizability.
Supervised Deep learning approaches can be used to provide a highly accurate method, while unsupervised methods can provide a more general segmentation.
The main focus points of related research include generalizability, speed, efficiency and accuracy

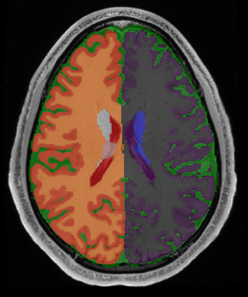
Neuroimage segmentation
There are various tasks of segmentation in nueroimaging, depending on what the region of interest is.
Some are separable by intensity, while some are very structure or relative location dependent.
There are various tasks of segmentation in neuroimaging, depending on what the region of interest is.
Multiple modalities, species and regions create different needs, hence different models and algorithms per task


Synthetic training
Due to the nature of medical imaging, there is a limit to supervised training possible
Thus, deep learning models learning crucial anatomical information from limited examples
Simulating anatomical structures to create synthetic images have been recently proposed as an alternative.
As a way of populating a small or non-existent dataset, it has proven to increase generalizability drastically, with even higher accuracy in some cases

Collaborations
I'm currently looking for any type of collaborations. Anyone interested in preprocessing of brain(healthy or non healthy) or any type of neural medical images/data from any species, please feel free to contact me.